Перейти к основному содержанию

Лечение и протезирование зубов в городе Хэйхэ в короткие сроки 3-5 дней, дешевле чем в России на 50-70%

на
50%
дешевле чем в России
2-6
дней
короткие сроки лечения
10
лет
гарантия качества работы
15
лет
опыта работы

Используя сайт, вы соглашаетесь на обработку cookies и данных согласно политике конфиденциальности. Отключить cookies можно в настройках браузера.

За счет нашей клиники вам будет предоставлен номер в гостинице со всеми удобствами рядом с стоматологической больницей «Доверие». Из гостиницы пациентов сопровождает прикрепленный гид-переводчик

О нашей клинике

Мы предлагаем широкий спектр стоматологических услуг для всей семьи, от профилактики и гигиены до сложного протезирования и имплантации. Наша главная цель - сделать посещение стоматолога комфортным и безболезненным. Мы используем передовые технологии и материалы, чтобы обеспечить вам здоровую и красивую улыбку на долгие годы.

Наши врачи

Врач стоматолог
Ван Вэй (Яша) (стаж 22 года)

Окончил Харбинский Медицинский Университет

Главный врач, стоматолог-хирург

Врач стоматолог
Лю Хай (Марина)

Врач стоматолог

Врач стоматолог
Маша

Врач стоматолог

Врач стоматолог
Юля

Врач стоматолог

Сертификаты и лицензии

Профессиональная стоматология «Доверие» г.Хэйхэ имеет все необходимые лицензии и свидетельства для приема и лечения иностранных граждан

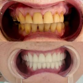
Работы до/после

За десятилетия работы стоматологии «Доверие» мы смогли завоевать доверие и получить множество положительных отзывов от наших пациентов. Клиенты отмечают высокий профессионализм наших специалистов, современное оборудование и материалы, а также уютную атмосферу клиники
Наша цель - помочь каждому пациенту сохранить здоровье и красоту своей улыбки. Мы рады, что наши усилия оцениваются нашими клиентами и благодарим их за доверие и положительные отзывы

Остались вопросы?

Мы понимаем, что выбор стоматолога – это важное решение. Именно поэтому мы предлагаем вам возможность получить бесплатную консультацию у одного из наших опытных и квалифицированных специалистов.

Даю согласие на отправку перс. данных и соглашаюсь с политикой конфиденциальности

Где мы находимся?